Hotline
1900.099990
Câu trả lời có thể là không, như trường hợp dưới đây.
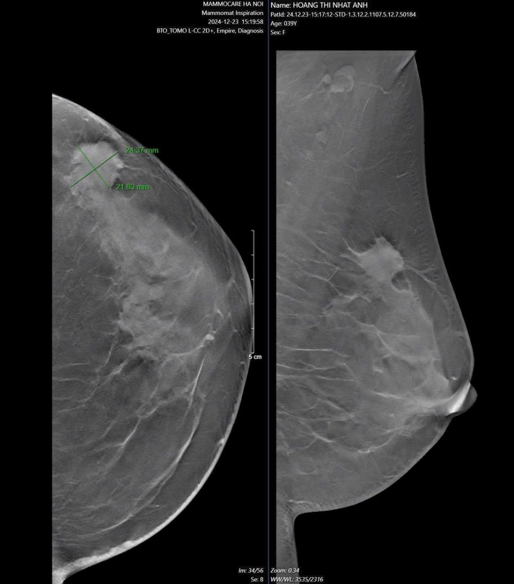
Một nữ bệnh nhân 39 tuổi đã thực hiện siêu âm vú trong lần khám sức khỏe định kỳ cách đây 3 tháng. Kết quả hoàn toàn bình thường, không có dấu hiệu đáng lo ngại. Tuy nhiên, khoảng một tuần trước, khi tự kiểm tra vú, cô phát hiện một khối u bất thường. Khi đi khám lại tại Trung tâm vú Mammocare, kết quả chẩn đoán xác nhận cô mắc ung thư vú.
Trường hợp này cho thấy rằng khám sức khỏe thông thường không phải lúc nào cũng đủ để phát hiện sớm ung thư vú. Dù siêu âm vú có thể giúp kiểm tra tình trạng tuyến vú, nhưng tầm soát ung thư vú chuyên sâu với các phương pháp hiện đại vẫn cần thiết để phát hiện bệnh ở giai đoạn sớm.

Chụp X-quang vú (Mammography):
Siêu âm vú:
MRI vú:
Tự kiểm tra vú:
Ung thư vú có chữa được không? Câu trả lời là có, đặc biệt khi bệnh được phát hiện sớm và điều trị kịp thời. Tỷ lệ sống sót sau ung thư vú đã được cải thiện đáng kể nhờ các tiến bộ trong y học. Điều quan trọng là bạn cần tầm soát định kỳ và nhận biết các dấu hiệu sớm của bệnh để có kế hoạch điều trị hiệu quả nhất. Mammocare là đơn vị tiên phong trong việc khám và tầm soát ung thư vú, liên hệ ngay với chúng tôi qua những thông tin dưới đây:
|
TRUNG TÂM CHẨN ĐOÁN HÌNH ẢNH VÚ MAMMOCARE Mammocare Hà Nội:
Mammocare Nghệ An:
|