Hotline
1900.099990
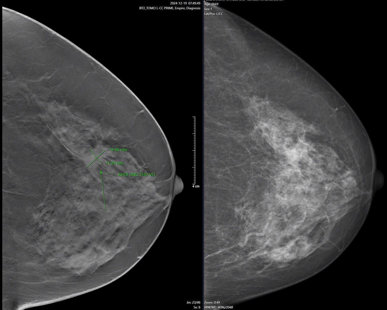
Bệnh nhân nữ 66 tuổi đến bệnh viện khám tim do loạn nhịp và cơn đau thắt ngực. Dù bác sĩ tim mạch kết luận chưa có vấn đề nghiêm trọng, nhưng bà vẫn cảm thấy bất an về sức khỏe, đặc biệt là ở vùng vú.
Không bỏ qua linh cảm của mình, bà quyết định đến Trung tâm Vú Mammocare để kiểm tra chuyên sâu. Và điều không ngờ đã xảy ra: bác sĩ phát hiện một khối u nhỏ chỉ 15mm – ung thư vú giai đoạn sớm.

Dù ung thư vú là điều không ai mong muốn, nhưng nhờ phát hiện kịp thời, bà có thể điều trị hiệu quả với phương pháp ít xâm lấn hơn. Nếu bỏ qua dấu hiệu ban đầu, bệnh có thể tiến triển sang giai đoạn nguy hiểm hơn.

Câu chuyện này là lời nhắc nhở rằng:
Lắng nghe cơ thể – Đừng bỏ qua những dấu hiệu bất thường, dù nhỏ nhất.
Tầm soát ung thư vú định kỳ – Cơ hội duy nhất để phát hiện bệnh ở giai đoạn sớm.
Kiểm tra chuyên sâu tại trung tâm uy tín – Một quyết định có thể thay đổi cả cuộc đời.
Nếu bạn là phụ nữ, đừng chờ đến khi có triệu chứng mới đi khám. Hãy chủ động tầm soát, bởi vì sức khỏe luôn là món quà quý giá nhất.
|
TRUNG TÂM CHẨN ĐOÁN HÌNH ẢNH VÚ MAMMOCARE Mammocare Hà Nội:
Mammocare Nghệ An:
|