Tầm Soát Ung Thư Vú Bằng Cách Nào?
17/03/2025 Tin tức
Tầm Soát Ung Thư Vú Bằng Cách Nào?

Tầm soát ung thư vú định kỳ là một bước quan trọng giúp phát hiện bệnh sớm và tăng khả năng chữa khỏi. Ung thư vú là một trong những loại ung...

Xem thêm
Phẫu Thuật Cắt U Vú (Mổ Mở) Tốt Hơn Hay Hút Chân Không VABB Các Khối U Vú Tốt Hơn?
17/03/2025 Tin tức
Phẫu Thuật Cắt U Vú (Mổ Mở) Tốt Hơn Hay Hút Chân Không VABB Các Khối U Vú Tốt Hơn?

Khi phải đối mặt với các khối u vú, việc lựa chọn phương pháp điều trị phù hợp đóng vai trò quan trọng trong việc đảm bảo sức khỏe và tâm lý...

Xem thêm
Siêu Âm Đàn Hồi: Phương Pháp Chẩn Đoán Tiên Tiến Cho Ung Thư Vú Tại Mammocare
17/03/2025 Tin tức
Siêu Âm Đàn Hồi: Phương Pháp Chẩn Đoán Tiên Tiến Cho Ung Thư Vú Tại Mammocare

Siêu âm đàn hồi (elastography) là một phương pháp chẩn đoán hình ảnh tiên tiến, đang được sử dụng rộng rãi tại Mammocare để đánh giá tính đàn...

Xem thêm
Mối Liên Quan Giữa Ung Thư Vú Và Ung Thư Giáp: Nghiên Cứu Mới Và Nguy Cơ Tiềm Ẩn
17/03/2025 Tin tức
Mối Liên Quan Giữa Ung Thư Vú Và Ung Thư Giáp: Nghiên Cứu Mới Và Nguy Cơ Tiềm Ẩn

Ung thư vú và ung thư giáp đều là những căn bệnh nguy hiểm ảnh hưởng đến sức khỏe phụ nữ. Các nghiên cứu khoa học gần đây đã chỉ ra rằng...

Xem thêm
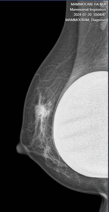
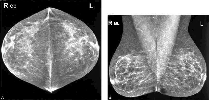
Khi Nghi Ngờ Một Bên Vú, Có Thể Chụp Một Bên X-quang Được Không?
11/03/2025 Tin tức
Khi Nghi Ngờ Một Bên Vú, Có Thể Chụp Một Bên X-quang Được Không?

Nhiều người có thể nghĩ rằng việc chỉ chụp một bên vú sẽ giúp tiết kiệm chi phí và giảm bớt lượng tia X phải tiếp nhận, tuy nhiên, việc này...

Xem thêm
Mới Đặt Túi Ngực Được 6 Tháng, Chị N.T.P Được Chẩn Đoán Ung Thư Vú
11/03/2025 Tin tức
Mới Đặt Túi Ngực Được 6 Tháng, Chị N.T.P Được Chẩn Đoán Ung Thư Vú

Gần đây, Trung tâm Vú Mammocare Hà Nội đã tiếp nhận trường hợp đáng tiếc của chị N.T.P, một bệnh nhân vừa đặt túi ngực được 6 tháng và đến...

Xem thêm
Liên hệ Hotline: 1900.099990 Messenger Chat Chát FB cùng chúng tôi wiget Chat Zalo Chát Zalo cùng chúng tôi Lên đầu trang