Một ngày đáng buồn của người bác sĩ – Khi ba bệnh nhân cùng nhận tin dữ
27/02/2025 Tin tức
Một ngày đáng buồn của người bác sĩ – Khi ba bệnh nhân cùng nhận tin dữ

Ngày hôm nay, tôi đã khám cho bốn bệnh nhân. Ba trong số họ nhận kết quả ung thư. Tôi vẫn còn nhớ rõ cảm giác khi cầm trên tay những phiếu xét...

Xem thêm
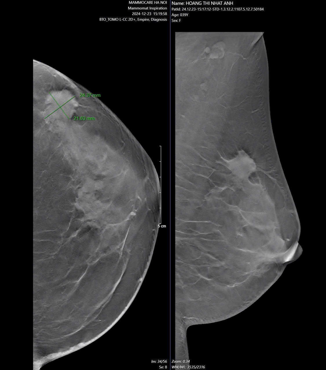
 XQUANG VÚ 3D tại Mammocare: Chất Lượng Cao, Công Nghệ Hiện Đại với Máy Mammomat Inspiration
20/02/2025 Tin tức
XQUANG VÚ 3D tại Mammocare: Chất Lượng Cao, Công Nghệ Hiện Đại với Máy Mammomat Inspiration

Ung thư vú là một trong những bệnh lý nguy hiểm nhưng hoàn toàn có thể chữa khỏi nếu được phát hiện sớm. Một trong những công cụ tầm soát hiệu...

Xem thêm
Tiết Dịch Núm Vú: Nguyên Nhân, Dấu Hiệu Và Cách Điều Trị
20/02/2025 Tin tức
Tiết Dịch Núm Vú: Nguyên Nhân, Dấu Hiệu Và Cách Điều Trị

Tiết dịch núm vú là hiện tượng phổ biến mà nhiều phụ nữ có thể gặp phải trong suốt cuộc đời. Dịch tiết từ núm vú có thể có màu sắc và...

Xem thêm
Cục U Ở Vú: Nguyên Nhân, Dấu Hiệu Và Cách Điều Trị Cần Biết
20/02/2025 Tin tức
Cục U Ở Vú: Nguyên Nhân, Dấu Hiệu Và Cách Điều Trị Cần Biết

Cục u ở vú là một hiện tượng mà nhiều phụ nữ có thể gặp phải trong suốt cuộc đời. Tuy không phải tất cả các cục u vú đều là dấu hiệu...

Xem thêm
Liên hệ Hotline: 1900.099990 Messenger Chat Chát FB cùng chúng tôi wiget Chat Zalo Chát Zalo cùng chúng tôi Lên đầu trang