Những Hiểu Lầm Về Phương Pháp Tầm Soát Các Bệnh Lý Tuyến Vú
11/03/2025 Tin tức
Những Hiểu Lầm Về Phương Pháp Tầm Soát Các Bệnh Lý Tuyến Vú

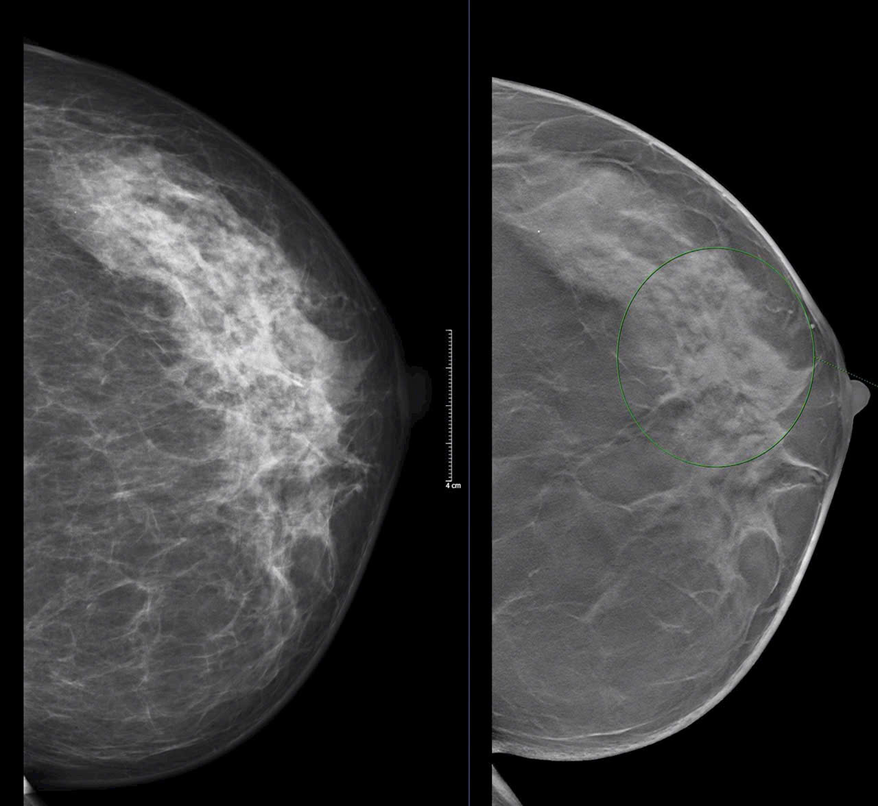
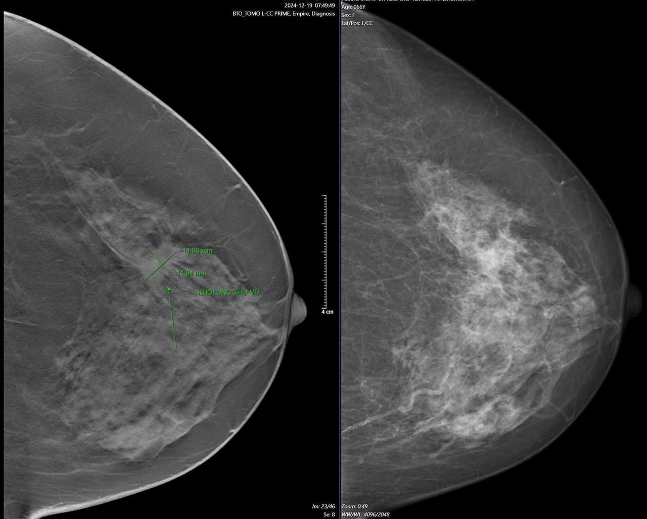
Tầm soát các bệnh lý tuyến vú đóng vai trò quan trọng trong việc phát hiện sớm các bệnh lý về tuyến vú và ung thư, giúp cải thiện hiệu quả điều...

Xem thêm
Đội Ngũ Bác Sĩ Chuyên Gia Hàng Đầu Tại Mammocare
11/03/2025 Tin tức
Đội Ngũ Bác Sĩ Chuyên Gia Hàng Đầu Tại Mammocare

Mammocare tự hào sở hữu đội ngũ bác sĩ chuyên gia hàng đầu trong lĩnh vực bệnh lý tuyến vú. Được đào tạo từ các trường đại học y khoa uy tín...

Xem thêm
Liên hệ Hotline: 1900.099990 Messenger Chat Chát FB cùng chúng tôi wiget Chat Zalo Chát Zalo cùng chúng tôi Lên đầu trang